La enfermedad “silenciosa” que puede afectar tus encías y provocar la pérdida de dientes
Visitas: 807
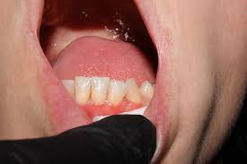
Puede comenzar con algo tan simple como un leve sangrado al cepillarse los dientes. Muchas veces se ignora, se normaliza o se deja pasar. Sin embargo, ese pequeño signo podría ser el inicio de un problema mayor: la enfermedad periodontal.
Se trata de una afección que avanza de forma progresiva y que, en sus primeras etapas, suele no generar dolor ni molestias evidentes. Por lo mismo, es común que pase desapercibida durante largos periodos.

Un problema que avanza sin hacer ruido
La enfermedad periodontal es una infección crónica que afecta los tejidos que sostienen los dientes, como las encías y el hueso. Con el tiempo, este daño puede volverse irreversible y terminar en la pérdida de piezas dentales.
El proceso suele comenzar con una inflamación de las encías, conocida como gingivitis. En esta etapa, pueden aparecer signos como enrojecimiento o sangrado, especialmente durante el cepillado.
Si no se trata a tiempo, la condición puede avanzar hacia una periodontitis, donde las encías comienzan a retraerse, dejando los dientes más expuestos. En fases más avanzadas, incluso puede aparecer movilidad dental.
Señales que no conviene ignorar
Aunque muchas veces no produce dolor, hay señales que pueden alertar sobre su presencia:
- Sangrado de encías
- Mal aliento persistente
- Retracción de encías (dientes más visibles o “largos”)
- Sensación de movilidad en los dientes
Estos síntomas suelen aparecer de forma gradual, lo que contribuye a que no se les dé la importancia necesaria.
Factores que aumentan el riesgo
Algunos hábitos y condiciones pueden favorecer el desarrollo de esta enfermedad:
- Higiene bucal deficiente
- Tabaquismo
- Presencia de enfermedades como diabetes
- Factores genéticos
Cómo prevenir su avance
La prevención es clave para evitar complicaciones mayores. Mantener una buena higiene oral es el primer paso, lo que incluye cepillarse correctamente después de cada comida.
También es fundamental acudir al dentista de forma periódica. En etapas iniciales, una limpieza profesional puede ser suficiente, mientras que en casos más avanzados pueden requerirse tratamientos especializados.
Además, controlar enfermedades asociadas, como la diabetes, puede ayudar a reducir el riesgo de progresión.
Una enfermedad que suele detectarse tarde
Debido a que no siempre genera dolor, muchas personas consultan cuando el daño ya es significativo. Por eso, prestar atención a los primeros signos y mantener controles regulares puede marcar la diferencia.
Cargando noticia...
Noticia por L. Montero
